Redtooth(赤い歯)
先日、青い歯と黒い歯について少し触れてみましたが、
今回は赤い歯(Redtooth)について説明してみます。
普段から歯が白い人がお口の中を鏡でみたときに、
歯が赤くなっているとびっくりしてしまいますよね。
歯が赤くなるにはさまざまな原因があり、少し解説していきます。
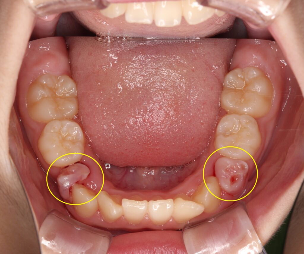
まず原因の一つには乳歯が抜け替わるときに、乳歯の根っこが短くなりすぎて、
すぐ下の歯茎の色が透けて赤っぽくあるいはピンクに見えることがあります。
これは通常の乳歯の抜け替わりであるので、特に問題にはなりません。

大人の歯で歯の色が赤っぽくあるいはピンクに見えるときは、
歯の内部で歯の組織が吸収されており、乳歯の抜け替わりの時と同様に
歯茎の色が透けて見えていることがあり、よく「ピンクスポット」など
と言われています。
このピンクスポットを歯の内部吸収と専門的に言いますが、歯をぶつけたりするなどの
外傷的要因によって引き起こされることがほとんどです。
残っている歯質にもよりますが、治療によって改善することも可能ですが、
治療には専門的な技術が必要とされ、状態が悪ければ
歯を抜かなければならないこともあります。
このほかにも、歯に付着してるプラークと言われる汚れが、
通常では白く見えるものが、飲食物の色素によって、
赤く変色することがあります。
また、歯医者さんで汚れを赤く染色することで、
歯が一時的に赤く見えるようになることがあります。
これは単なる歯の汚れであるため、機械的に付着物を取り除けば
元の歯の色に戻ります。

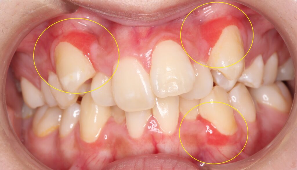
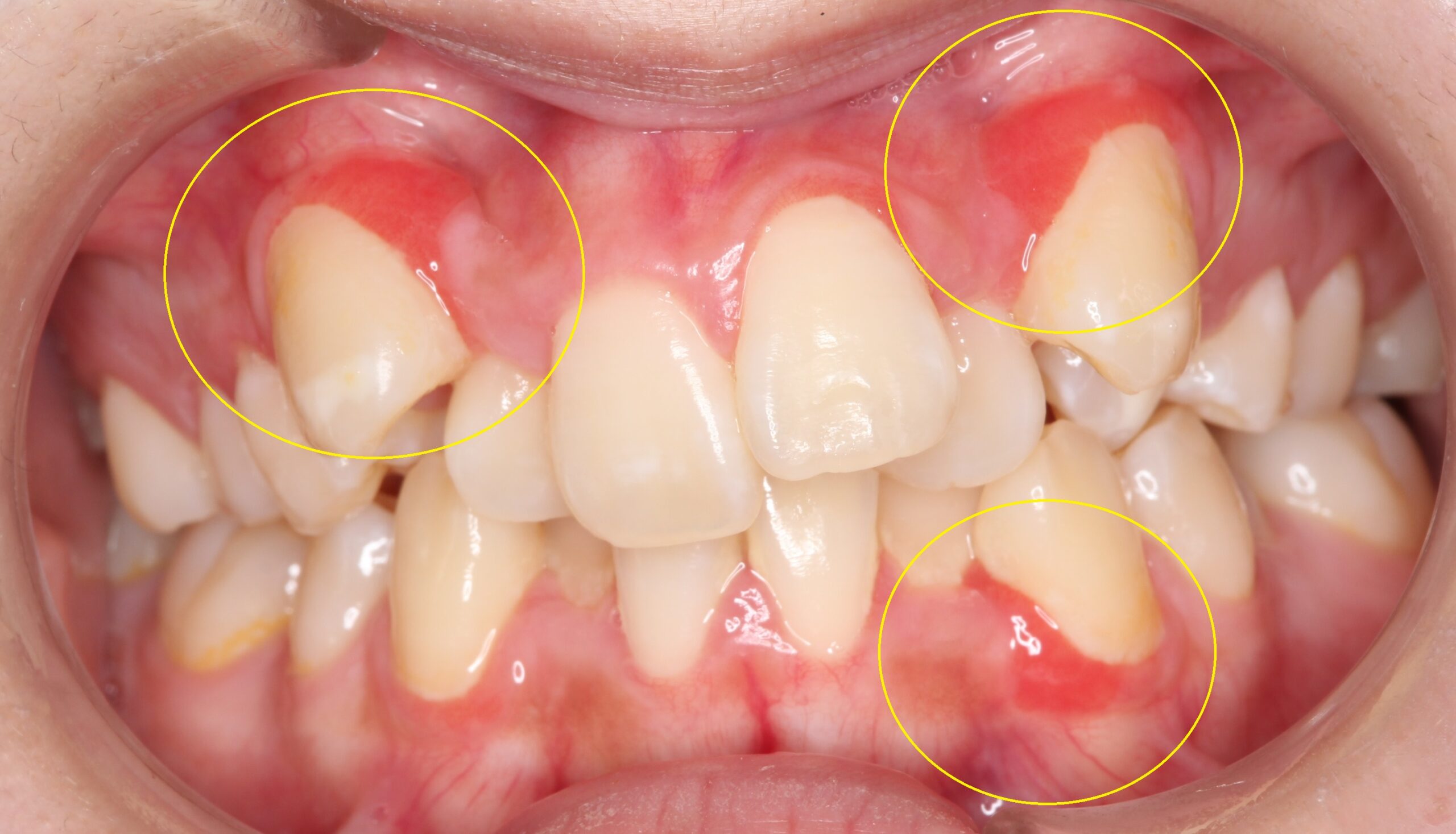
丸は歯肉炎の状態です
歯の矯正中でも、装置の周りの汚れが赤くなっている方がいますが、
ある特定の方に限られることが多いので、おそらく食生活によって
歯の汚れが赤くなると思われます。
また、歯の矯正治療が終わり、装置がない状態になると、
歯の汚れが赤くならないことがほとんどですので、
歯並びが良くなって、歯磨きがしやすくなれば、
赤い歯になりにくくなるでしょう。
以上、歯が赤くなる原因にはさまざまですが、
少しでも歯の色に異常を感じたら、決して自己判断はせずに
一度歯科医院を受診して原因を解明しましょう。
投稿者プロフィール

最新の投稿
お知らせ2025年11月28日インフルエンザ流行の今こそ見直したい“鼻呼吸”
矯正治療について2025年11月18日金属アレルギーと矯正歯科治療の関係
お知らせ2025年11月8日11月8日は「いい歯の日」!きれいな歯並びで、健康な笑顔を
お知らせ2025年10月31日寒暖差と歯の痛み ― 季節の変わり目に気をつけたい歯の健康と矯正治療のポイント

